
Πού θα διεξαχθούν δωρεάν τεστ
δημοφιλές τώρα: Market Pass: Ποιοι είναι οι δικαιούχοι για το voucher τροφίμων
Πού θα διεξαχθούν δωρεάν τεστ

Η Σβετλάνα Τιχανόφσκαγια χαιρέτισε τους εθελοντές που μάχονται στο πλευρό των Ουκρανών

Η εθνική ομάδα της Βόρειας Μακεδονίας έριξε «βόμβα» στο παγκόσμιο ποδόσφαιρο καθώς απέκλεισε την πρωταθλήτρια Ευρώπης Ιταλία, η οποία δεν θα βρίσκεται στο Μουντιάλ του Κατάρ!

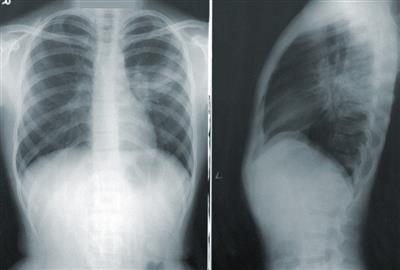
Ο ασθενής χρειάστηκε να μείνει επτά ώρες στο χειρουργικό τραπέζι στο νοσοκομείο Northwestern Medicine του Σικάγο

Την πληροφορία επιβεβαιώνουν και οι δύο πλευρές

Η πόλη πολιορκείται εδώ και εβδομάδες από τον ρωσικό στρατό

Έκτακτο σχέδιο για την επισιτιστική ασφάλεια πρότεινε ο πρόεδρος της Γαλλίας

Μεταξύ των θυμάτων και μία υποψήφια των βουλευτικών εκλογών

Έντονα ήταν τα συναισθήματα κατά τη διάρκεια των εορτασμών του Άρη για τα 108 χρόνια απ' την ίδρυση του συλλόγου.

Πότε χορηγείται – Πώς γίνονται οι αιτήσεις των ασθενών

Καλούν τους κατοίκους να μη βρίσκονται σε εξωτερικούς χώρους

Η εκπρόσωπος του ρωσικού ΥΠΕΞ ανέφερε ότι, η επίθεση της χώρας της στην Ουκρανία θα μπορούσε να αποτραπεί αν είχαν τηρηθεί οι συμφωνίες του Μινσκ

«Οι κυρώσεις που έχουν επιβληθεί από την Ε.Ε. και τη διεθνή κοινότητα στοχεύουν και προσωπικά τον κ. Πούτιν και την οικογένειά του, τους στενούς του επιτελείς και τον οικονομικό του περίγυρο»